SOS i Migliori
Qualsiasi sia il Probema Siamo in grado di Risolverlo al Meglio

Alternative innesti rialzi Sottoperiostea Griglia carico immediato

Nostre soluzioni innovative e altamente specializzate per pazienti con gravi o gravissime atrofie del mascellare superiore con gravi e cospicui riassorbimenti d’osso alveolare – Innovativa Soluzione Chirurgica: Implantologia Sottoperiostea a Carico Immediato con Griglia e Viti di Osteosintesi

Introduzione

Per coloro che cercano un’alternativa agli innesti d’osso autologhi, l’Implantologia Sottoperiostea a Carico Immediato con Griglia e Viti di Osteosintesi rappresenta una soluzione avanzata. Questa sezione esplorerà i principi fondamentali di questa tecnica, evidenziando i suoi vantaggi e la sua applicabilità rispetto agli innesti ossei tradizionali.

Concetti Chiave

  • Sottoperiostea: Questa procedura coinvolge la posizionamento degli impianti sotto il periostio, sfruttando la capacità di questa membrana di fornire un supporto stabile per gli impianti dentali.
  • Carico Immediato: Un elemento distintivo di questa tecnica è la possibilità di applicare un carico immediato sugli impianti, consentendo ai pazienti di beneficiare rapidamente di una dentatura funzionale.
  • Griglia e Viti di Osteosintesi: Viene utilizzata una griglia con viti di osteosintesi per fissare gli impianti e garantire una stabilità ottimale nella mascella o nella mandibola scheletrizzata.

Vantaggi dell’Implantologia Sottoperiostea a Carico Immediato

  • Evita Innesti Ossei Autologhi: Eliminando la necessità di prelievi ossei autologhi, questa tecnica offre un’opzione meno invasiva per chi desidera superare le limitazioni ossee senza ricorrere a innesti.
  • Riduzione dei Tempi di Attesa: L’applicazione del carico immediato consente ai pazienti di usufruire più rapidamente di una dentatura funzionale, riducendo i tempi di attesa rispetto alle procedure tradizionali.
  • Stabilità a Lungo Termine: La combinazione di una griglia e viti di osteosintesi mira a fornire una stabilità duratura, offrendo una base solida per l’ancoraggio degli impianti dentali.

Considerazioni Importanti

  • Pianificazione Specialistica: La scelta di questa tecnica richiede una pianificazione specialistica approfondita da parte di un chirurgo implantologo esperto.
  • Collaborazione Multidisciplinare: Una collaborazione efficace tra il chirurgo orale, l’implantologo e altri specialisti è fondamentale per garantire una pianificazione integrata e una corretta esecuzione dell’intervento.

Casistica di Riabilitazione Orale Estrema: Video e Risultati

Siamo entusiasti di presentarvi un affascinante caso video proveniente dal nostro avanzato centro specialistico. Questo caso coinvolge una paziente proveniente dalla bellissima Sardegna, portatrice di una protesi removibile da ben 30 anni. La sua situazione era giunta a un punto critico, con un livello di riassorbimento osseo così estremo che rendeva difficile persino il supporto della dentiera.

La decisione di affidarsi alla nostra struttura altamente specializzata è stata fondamentale per trovare soluzioni fisse per pazienti con gravi atrofie ossee, coinvolgendo sia il mascellare che la mandibola. Dopo una lunga e approfondita valutazione delle condizioni ossee residue, abbiamo scelto di adottare la tecnica avanzata dell’implantologia sottoperiostea.

Elementi Salienti del Caso:

  • Atrofia Ossea Estrema:
    • La paziente, con una storia di 30 anni di utilizzo di protesi removibile, presentava un’atrofia ossea significativa, mettendo a dura prova la possibilità di supportare qualsiasi tipo di protesi.
  • Decisione per l’Implantologia Sottoperiostea:
    • Dopo una valutazione approfondita, la nostra scelta è stata l’implantologia sottoperiostea, una tecnica avanzata progettata per affrontare situazioni estreme di riassorbimento osseo.
  • Risultati Straordinari:
    • Il video documenta ogni fase dell’intervento, dalla progettazione personalizzata della griglia sottoperiostea all’applicazione dei singoli impianti e, infine, alla realizzazione di una protesi dentale a carico immediato.
  • Galleria Fotografica Dettagliata:
    • Accompagniamo il video con una galleria fotografica dettagliata che cattura ogni fase del processo e i risultati finali sorprendenti.

Protesi Dentale a Carico Immediato con Tecnica del Sottoperiosteo:

Se stai considerando un intervento di implantologia sottoperiostea con protesi dentale a carico immediato, è fondamentale comprendere le fasi coinvolte nel processo. Ecco una spiegazione chiara per i pazienti:

  • Valutazione Iniziale:
    • Inizia con una valutazione approfondita della tua situazione dentale, utilizzando tecnologie avanzate come la tomografia computerizzata.
  • Progettazione Personalizzata:
    • Attraverso la progettazione assistita dal computer (CAD), il team di specialisti progetta una griglia su misura, tenendo conto delle tue specifiche anatomiche.
  • Intervento Chirurgico:
    • Durante l’intervento chirurgico, la griglia sottoperiostea viene posizionata direttamente sull’osso mascellare, fornendo un supporto stabile per gli impianti dentali.
  • Carico Immediato:
    • Una delle caratteristiche distintive di questa tecnica è il carico immediato. Subito dopo l’inserimento della griglia e degli impianti, viene applicata una protesi dentale fissa provvisoria, consentendoti di avere denti fissi fin dalla stessa giornata dell’intervento.
  • Controllo Post-Operatorio:
    • Dopo l’intervento, sarai monitorato attentamente per garantire una corretta guarigione e adattamento alla protesi provvisoria.
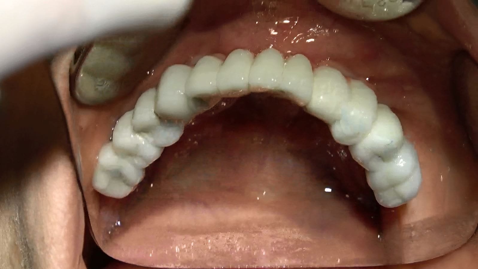
  • Sostituzione con Protesi Fissa Definitiva in Ceramica:
    • Dopo un periodo di circa 6 mesi, quando l’integrazione degli impianti è completa, la protesi provvisoria può essere sostituita con una protesi dentale fissa definitiva in ceramica, composta da 14 denti.

Benefici della Tecnica del Sottoperiosteo:

  • Carico Immediato: Ripristina la funzionalità masticatoria e l’estetica sin dalla stessa giornata dell’intervento.
  • Adattamento Personalizzato: La griglia su misura e la protesi definitiva sono progettate per adattarsi alla tua anatomia unica.
  • Risultati Duraturi: La tecnica mira a fornire risultati estetici e funzionali a lungo termine, migliorando la qualità della tua vita.

Ricorda che ogni paziente è unico, e la scelta di questa tecnica dovrebbe essere basata su una valutazione dettagliata da parte del tuo team odontoiatrico. La salute orale è un investimento significativo, e questa procedura offre un approccio avanzato per ottenere risultati rapidi e duraturi.

Passati 6 mesi di osteointegrazione si sostituisce protesi fisse provvisorie con protesi fisse in ceramica definitiva 14 denti

PAZIENTE PASSA DA 30 ANNI DI DENTIERA A DENTI FISSI PROVVISORI POI DEFINITIVI NEL GIRO DI UN ORA E TRENTA MINUTI

Invito alla Visione:

Invitiamo con entusiasmo chiunque sia interessato a esplorare questo caso a visionare il video completo e a esaminare la galleria fotografica sul nostro sito. Questa testimonianza visiva offre una prospettiva unica sulle sfide affrontate e sui successi ottenuti, sottolineando la nostra dedizione a fornire soluzioni dentali fisse anche per i casi più complessi.

La vostra soddisfazione e il miglioramento significativo nella qualità della vita sono i nostri obiettivi principali. Buona visione!

Conclusioni

L’Implantologia Sottoperiostea a Carico Immediato con Griglia e Viti di Osteosintesi si presenta come un’alternativa avanzata e meno invasiva agli innesti d’osso autologhi. Per una valutazione dettagliata e consigli personalizzati, si consiglia di consultare specialisti con esperienza in questa tecnica innovativa.

Call Now Button
× SOS DOMANDE?